![]()

![]()
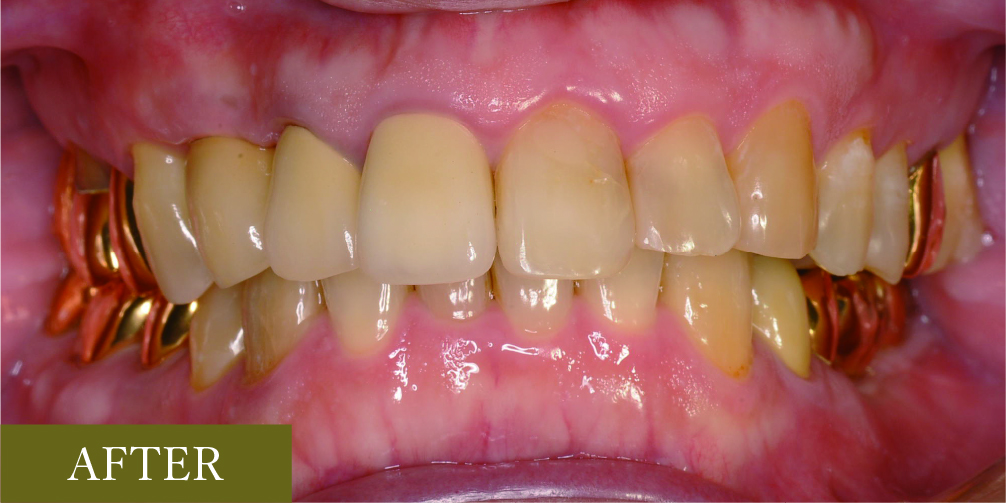
治療内容は全体の歯周初期治療・虫歯治療(20本)・根管治療(9本)・補綴治療(13本)・インプラント治療(2本)を行いました。
他の歯医者では5本抜くと言われましたが、抜歯は1本だけでした。見える所の被せ物はセラミックで行い、奥歯は噛む力が強くかかるためゴールドで行いました。治療期間は30ヵ月、費用は¥5,500,000‐です。
最後までお読みいただけると
他の歯医者との違いがわかります!



以前、自由診療の歯科医院に勤務していた時は現在と同じ初診料で1時間の初診でした。この医院を開院し4時間の予約をとるようになりました。それは患者さんの歯の悩みをしっかり聞き、正確な検査に基づいた診断・治療方針を伝えるためです。焦って聞きたい事が聞けない、わからない事や不安な事が残ったまま、ということが無いように説明がしっかりと出来る充分な時間を確保させていただきます。
どこに行けば良いのか分からない方は初診時間をしっかり確保している歯科医院を探すことをおすすめします。
全てを保険診療で行うためには、1日に25人の患者さんを診療する必要があります。8時間で25人、1時間で約3人、つまり1人あたり20分間です。しかし20分で何ができるでしょうか。例えば美容院や床屋さんに行ったとしても、20分でどこまで終わるでしょうか。歯の治療は、本来とても時間のかかるものです。とても難しく、繊細な面を持った仕事であると自負しています。そこで私は、1人20分の治療を行うことより、歯を残すためにやるべきことを行うスタイルを重視したのです。
当院は他の医院の9倍以上の時間を、Dr.やスタッフが掛け持ちではなく1人の患者さんに提供しています


お口と歯の為に良いことを全て行います。当院には歯を残すために必要な治療器具や人財は全て用意してあります。例えば、マイクロスコープやルーペ、MTAセメントや様々な消毒滅菌装置などです。そのために患者さんから頂く治療費の85%以上は患者さんにかけています。
もちろん金額が安いほどいいとは思いますが、必要な機材、時間、人財を用いると、保険診療だけではとても「自分がされたくない治療は行わない」ことができないと判断しました。保険診療で、できる所はやって、残った部分は自由診療で、ということも考えてみました。しかし、これもどうもグレーゾーンが多いようなので、やはりシンプルに自由診療(完全自費診療)のみで、歯を残すこと、口の健康に良いことは全てを行うスタイルに決めたのです。歯科医師が治療、再治療を繰り返す悪循環のサイクルになると、どんどん歯が悪くなってしまうだけではなく患者さんの経済的負担が多くなってしまいます。
生涯の治療回数を
少なくするということがとても重要です
当院では治療開始までにトレーニングを積んだ歯科衛生士による歯周基本治療・予防処置を行います。
口腔内が治療に適した状態に整ってから歯科医師が丁寧に治療を施します。
保険診療では時間的制約で省かれてしまいやすい工程をすべて実施することで医原性の問題(処置中の唾液の侵入、虫歯の取り残しや歯科材料の充填不良)を減らし、再治療が必要になりにくいクオリティの高い治療を提供しています。


患者さんの全身の健康を守るために大切な感染対策。洗浄から消毒、滅菌までのシステムの構築がされており高いレベルの感染対策知識の教育を受けたスタッフのみが在籍しています。診療で使用する水もエアーも除菌しています。当院は目に見える所だけではなく、目に見えない所まで対策を行っております。
感染対策で私が思うことは、「歯医者に行って他の病気をうつされたくない」ということです。歯科は処置のほとんどが小手術です。そして出血を伴うことがほとんどです、肉眼で赤く見えなくても唾液に潜血反応はあるのです。だからこそB型・C型肝炎やHIV、一般細菌による感染などの対策は本気で取り組まなくてはなりません。それが患者さんからはとても見えにくくて分かりにくいとしても…
大切なことに手を抜かないことが
当院の自信です!




治療の満足度はいかがでしたか?
実際に来院いただいたお客様の声/口コミ・評判



全体の歯周初期治療・虫歯治療(20本)・根管治療(9本)・補綴治療(13本)・インプラント治療(2本)を行いました。他の歯医者では5本抜くと言われましたが、抜歯は1本だけでした。見える所の被せ物はセラミックで行い、奥歯は噛む力が強くかかるためゴールドで行いました。
治療期間は30ヵ月、費用は¥5,500,000‐です。



全体の歯周初期治療・虫歯治療(13本)・根管治療(3本)を行いました。歯肉の中に歯石が多く付いていたので、歯石を除去して歯肉が引き締まってから被せ物を入れました。
治療期間は9ヵ月、費用は¥3,086,000‐です。



全体の歯周初期治療・虫歯治療(13本)・根管治療(12本)・インプラント治療(2本)を行いました。歯肉の赤み(歯肉炎)の改善がよくわかります。右上3番(糸切り歯)は1本取り外し式の義歯でしたが、残っていた根を治療して固定式の被せ物にできました。
期間は48ヵ月、費用は¥6,000,000‐です。
全顎的な治療に関しては治療期間が長期にわたる為、噛み合わせが不安定な時期がでてきます。
しかし、仮歯等を入れることにより改善することが可能です。またインプラント治療におきましては、下顎管の損傷による知覚麻痺等のリスクがあります。これはCTシュミレーション,サージカルガイドを用いて手術を行うことによりリスクの回避を図ることが可能となります。
治療が終了した患者さんには口腔健康を保つために適切な間隔のメインテナンスを提案いたします。
当院でのメインテナンスを受けられる方には治療後3年間の保証を付け、再治療が必要になってしまった場合はいただいた治療費の差額で再治療を行わせていただきます。
歯科衛生士のメインテナンスとは別に、半年~1年毎に歯科医師の診察時間を設け治療した歯を含めた全体の嚙み合わせや経過観察歯のチェックを行っています。
原則メインテナンスに通われている方には歯科医師のチェック予約枠の費用はいただいておりません。
2025年12月
2025年12月
2026年3月
2020年8月
DentsplySironaJapan
2017年4月
当Webサイトをご覧の上、治療をご希望の方は、お電話にて初診の申し込みをして下さい。
※なお、初診では特別なことがないかぎり治療は一切行っておりません。
当院は保険外診療専門歯科医院(完全自費診療)です。ご注意ください。
月曜日~金曜日、第1・3・5土曜日 9:00~17:00となります。
完全予約制のため不可となります。必ずお電話にて予約の上ご来院ください
完全予約制のため基本的にはスムーズにご案内可能となります。
曜日や時間・お客様の対応状況次第ではお待たせしてしまう場合がございます。
2012年2月から第1・3・5土曜日の診療を開始しています。
説明時にはなるべく患者さんにわかりやすく説明しておりますが、今後より一層の注意をするとともに説明時間の確保にも努めて参ります。
可能です。変更・キャンセルの場合はお電話ください。
変更の場合はご予約状況やお時間次第ではお待ち頂くか、お日にちのご相談を
お願いする場合もございます。
服用中のお薬がある方はお薬手帳をご持参ください。
また、他院にて資料(レントゲン・検査用紙 等)を受け取っている場合はそちらも
ご持参ください。
JR総武線 新日本橋駅5番出口から徒歩8分
地下鉄 日比谷線 小伝馬町駅3番出口から 徒歩2分となります。